Zum Inhalt springen

Schulterarthrose - Die Abnützung der Schulter

Schulterarthrose - Die Abnützung der Schulter

Unter Schultergelenksarthrose (Omarthrose) verstehen wir den Verschleiß des Schultergelenkes durch eine Verminderung und Zerstörung der Knorpelsubstanz. Im Extremfall reiben Oberarmkopf und Gelenkpfanne knöchern aufeinander, was zu einer stark schmerzenden Schulter mit Gelenkentzündung und Bewegungseinschränkung führt.

Oft ist die Ursache des Schultergelenkverschleißes eine kontinuierliche Abnutzung  des Gelenks über Jahre (primäre Arthrose), manchmal tritt diese Abnützung auch als Folge eines anderen Schulterschadens auf. Beispiele sind ein früherer Oberarmkopfbruch (Humeruskopffraktur), ein großer chronischer Rotatorenmanschettendefekt oder Gelenkrheumatismus (sekundäre Arthrose).  

Typische Beschwerden sind Bewegungseinschränkung, besonders für Rotationsbewegungen, Ruheschmerz, Bewegungs- und Belastungsschmerz, sowie Reiben und Knirschen bei sämtlichen Schulterbewegungen. Oft liegen auch Schwellungszustände mit Ergussbildung vor.

Diagnostik

Zur Diagnosestellung können neben der gründlichen körperlichen Untersuchung folgende Untersuchungsmethoden herangezogen werden:

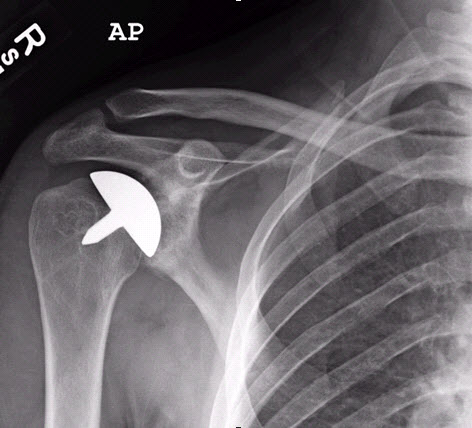
  • Röntgenbilder (Nachweis einer Gelenkspaltverschmälerung, Nachweis von knöchernen Anbauten, exakte Beurteilung des Pfannenverschleißes)
  • Ultraschall (Beurteilung der Rotatorenmanschette)
  • Kernspintomographie (Beurteilung der Rotatorenmanschette) und Computertomographie (CT zur Beurteilung der Gelenkpfannenorientierung) 

Behandlungsmöglichkeiten

Konservative (nicht operative) Therapie

Befindet sich der Schultergelenkverschleiß noch in einem frühen Stadium, bestehen verschiedene Möglichkeiten der konservativen Therapie. An erster Stelle ist die krankengymnastische Behandlung zu nennen, die über eine Dehnung der Kapsel eine Verbesserung der Schulterbeweglichkeit erzielen kann. Ergänzend werden entzündungshemmende Medikamente verabreicht. Die nächste Stufe der Therapie stellen Injektionen in das Schultergelenk dar, welche einerseits entzündungshemmende, andererseits "gelenkschmierende" Wirkung haben können. Hier sind z.B. Hyaluronssäure-Präparate zu nennen.

Operative Therapie

Wenn nicht-operative Massnahmen nicht mehr ausreichen muss die Operation empfohlen werden. Je nach  Art der Abnutzung und Schweregrad der Arthrose kommen dabei verschiedene Verfahren in Frage:

In einzelnen Fällen ist es möglich durch eine Schultergelenksspiegelung mit Spülung und Reinigung des Schultergelenkes (Arthroskopische Gelenkstoilette) eine gewisse Verbesserung bezüglich Schmerzen zu erzielen. Die Erfolgschancen dieses Eingriffs sind jedoch ungewiss und in zeitlicher Hinsicht nicht voraussagbar. Wenn solche wenig invasive Methoden versagen, muss jedoch eine Kunstgelenkersatzoperation an der Schulter ernsthaft erwogen werden. Je nach Art der Abnutzung kommen hier verschiedene prinzipielle Operationsmethoden und Prothesenmodelle in Frage:

  • Der Oberflächenersatz am Humeruskopf
  • Die "klassische" Schultergelenkstotalprothese
  • Die sogenannte Umkehrprothese (Inverse Schulterprothese, DeltaProthese, Grammontprothese)
Die früher
Röntgenbild einer Schultergelenkversteifung mit Spezialplatten

Die früher - in Ermangelung eines Kunstgelenkes - durchgeführten Eingriffe mit Schultergelenksentfernung (Resektion, Sine-sine-Operation) oder Versteifungsoperation (Schultergelenksarthrodese) müssen und werden heute nur noch in speziellen Situationen vorgenommen werden. Ihr behandelnder Facharzt wird Sie bezüglich Ihres Schultergelenkleidens gerne und kompetent weiter beraten!

Letzte Aktualisierung: 28.05.2020