Zum Inhalt springen

Tendinitis calcarea - Kalkschulter

Tendinitis calcarea - Kalkschulter
Schmerzen bei Tendinitis calcarea

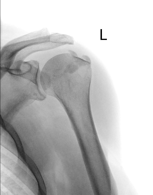
Bei der Tendinitis calcarea oder auch Kalkschulter handelt es sich um eine sehr intensiv meist nachts auftretende und schmerzhafte Erkrankung der Schulter, wobei die Sehnen der Rotatorenmanschette an der Schulter betroffen sind. Dabei ist meist die Supraspinatussehne, gelegentlich aber auch andere Sehnen der Rotatorenmanschette befallen. Es treten akute entzündlichen Beschwerden auf, welche durch eine Minderdurchblutung der Rotatorenmanschette ähnlich wie auf degenerativer Basis mit reaktiven Kalkablagerungen (Calciumhydroxyapatit-Kristalle) bedingt sind. Frauen erkranken häufiger als Männer. Die kristallinen Kalkablagerungen kann man anhand eines Röntgenbildes erkennen und somit relativ leicht diagnostizieren. Die genaue Ursache dieser Erkrankung ist weiterhin unklar, man weiss jedoch, dass kein Zusammenhang mit erlittenen Unfällen besteht.

Die Erkrankung verläuft schubweise. Die Beschwerden einer Patientin mit Tendinitis calcarea können erheblich variieren, je nach der Größe des Kalkdepots und dem Stadium der Erkrankung. Einen akuten Entzündungsschmerz erfährt der Patient während der Auflösung des Kalkdepots oder wenn das Kalkdepot in den Schulterdachschleimbeutel einbricht. Die spitzen kristallinen Kalkstrukturen führen zu einer heftigen Schleimbeutelentzündung mit stärksten Schmerzen. Allerdings finden sich in diversen Studien auch Kalkablagerungen bei Menschen ohne Beschwerden (3-20%).Sobald eine Verkalkung eingetreten ist, kann man sie mit einer Ultraschalluntersuchung nachweisen. Auch im Röntgenbild kann die Verkalkung sehr gut erkannt werden. Für die Diagnostik der Tendinitis calcarea spielt die Magnetresonanztomographie (MRT) eine untergeordnete Rolle, da das Kalkdepot sich dort nicht immer gut darstellen lässt und Verwechslungen mit einer Rotatorenmanschettenläsion (Rotatorenmanschettenriss) möglich sind.

Die Behandlung focussiert auf die durch das Kalkdepot ausgelöste akute Schleimbeutelentzündung (Bursitis subacromialis): So kann die Schulter mit einer Bandage entlastet werden. Durch Analgetika (=schmerzstillende Medikamente) und NSAR (= Nicht Steroidale Antirheumatika), die stark entzündungshemmend wirken, können die Schmerzen gelindert werden. Das Kühlen der Schulter (Kryotherapie) hilft ebenfalls Schmerzen zu lindern und bremst zudem die Entzündungsvorgänge. Eine schnelle Schmerzlinderung kann durch die Injektion eines lokalen Betäubmittel unter zusätzlichem Kortisonzusatz erreicht werden. Das lokale Betäubungsmittel sorgt für einen sofortigen schmerzlindernden Effekt, während das Kortison, als das am stärksten entzündungshemmende Medikament überhaupt, für eine Schmerzlinderung auch nach dem Abbau des Betäubungsmittels sorgt. Da Kortison den Blutzuckerspiegel stark ansteigen lässt, müssen Zuckerpatienten (Diabetes mellitus) ihren Insulinbedarf anpassen und den Blutzuckerspiegel häufiger kontrollieren. Sobald die Schmerzen nachlassen, kann eine Krankengymnastik (Physiotherapie) begonnen werden. Ziele ist die Entlastung der Schultersehnen unter dem Schulterdach sowie der Erhalt der Schultergelenksbeweglichkeit, da bei schmerzbedingter Bewegungseinschränkung oder durch eine sonstige anhaltende Ruhigstellung durch eine Kapselschrumpfung eine Einsteifung der Schulter droht.

Durch eine Stosswellentherapie (ESWT – Extrakorporelle Stosswellen Therapie) kann eine Schmerzlinderung und ein Abbau des Kalkdpots herbeigeführt werden. Die Wirkung der Stosswellentherapie ist nur bedingt voraussagbar. High energy shock wave therapy - Published clinical studies. Ebenso können Methoden wie das Needling (Percutanes Anstechen der Kalkherde in Lokalanästhesie unter Ultraschall- oder Bildwandlerkontrolle) und die Lavage (Ausspülen des subacromialen Raumes nach Needling) als weniger invasive Methoden helfen.

Bei Patienten, die anhaltend unter starken Schmerzen leiden, deren Kalkherde gross sind und eine harte Konsistenz aufweisen, und die auf konservative Methoden nicht ausreichend ansprechen, kann eine Operation notwendig werden. Da die Tendinitis calcarea eine hohe Spontanheilungstendenz aufweist, ist die Indikation zur Operation jedoch zurückhaltend zu stellen. Im Rahmen der Operation werden die Kalkdepots entfernt und der subakromiale Raum erweitert. Der Eingriff kann minimal invasiv, d.h. mittels einer Schultergelenksspiegelung (Arthroskopie) durchgeführt werden. Nach der Spiegelung des Schultergelenkes, erfolgt in der Regel eine Erweiterung des Schulterdachraumes durch sparsame Knochenabtragung von der Acromionunterfläche (subacromiale Dekompression). Sobald der Kalkherd lokalisiert wurde, kann er abgetragen werden. Alternativ kann das Ausräumen des Kalkherdes auch mit einer herkömmlichen Operation über einen kleinen Hautschnitt von circa 3 cm erfolgen. Nach einem operativen Eingriff sollte die Schulter über 2 - 3 Wochen geschont werden. In der Regel erfolgt die Nachbehanlung mit entzündungshemmenden und schmerzstillenden Medikamenten. Krankengymnastische Übungsbehandlungen sollen die Schultergelenksbeweglichkeit erhalten.

Auch nach der Operation kann es zu Rückfällen kommen. Die Rückfallrate wird in der medizinischen Fachliteratur zwischen 16-18% angegeben. Gesamthaft sind nach mehreren Vergleichsstudien die Langzeitresultate der operativen Behandlung gegenüber konservativen Therapien wesentlich besser.

Letzte Aktualisierung: 28.05.2020