Zum Inhalt springen

Einklemmungssyndrom des Hüftgelenkes (Impingmentsyndrom)

Das Impingement des Hüftgelenks – neue Behandlungsmöglichkeiten

Das Wort Impingement stammt aus dem Englischen und bedeutet Zusammenstossen oder Einklemmen. Am Hüftgelenk wird damit ein Belastungsschmerz bezeichnet, der durch Beugung der Hüfte oder Drehung des Beines nach innen zu einschiessenden Leistenschmerzen führt. Ursache dieser Schmerzen kann ein mechanischer Konflikt zwischen dem vorderen Pfannenrand am Becken oder seiner zirkulären knorpligen Gelenklippe und dem vorderen Schenkelhals des Oberschenkelknochens sein (Abb. 1).

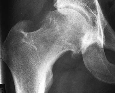
Bei der oben beschriebenen Bewegung im Hüftgelenk stossen in diesem Fall die beiden Knochen zusammen (= impingieren) und führen zu einem chronischen Reizzustand und zu irreparablen Gelenkschädigungen. Im Spätstadium nennt man diese Schädigungen Coxarthrose. Gründe für diesen mechanischen Konflikt können eine Fehlrotation des Schenkelhalses, eine mangelnde Taillierung zum Hüftkopf oder eine zu starke vordere knöcherne Überdachung des Pfannenrandes sein. Anfänglich führt dies bei entsprechender körperlicher Beanspruchung zu einer schmerzhaften Einschränkung der Hüftbeweglichkeit. Mit der Zeit werden diese Veränderungen am Knochen auch im Röntgenbild sichtbar (Abb. 2).

 

Im weiteren Verlauf entstehen am vorderen Schenkelhals knöcherne Anbauten, welche wiederum zerstörerisch auf die vordere Gelenkpfanne einwirken, insbesondere auf den randständigen Gelenkknorpel und die Gelenklippe. Bleibt das Problem unbehandelt, verschlimmern sich die Symptome. Auch bei jüngeren Patienten kann dies zu einer vorzeitigen und fortschreitenden Abnützung des Hüftgelenks (Coxarthrose) führen, was Bewegungseinschränkungen im Alltag zur Folge haben kann.

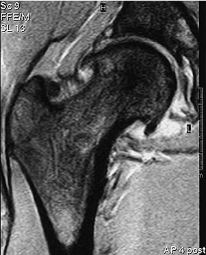
Nicht selten bedingt die Coxarthrose aufgrund der starken Schmerzen das Einsetzen eines künstlichen Hüftgelenkes. Degenerative Veränderungen am Hüftgelenk sind bei 17% der Männer und 10% der Frauen über 55 im Röntgenbild sichtbar. In etwa zwei Dritteln der Fälle handelt es sich dabei um eine Sekundärarthrose aufgrund einer vorbestehenden Deformität. Diese kann angeboren oder entwicklungs- respektive unfallbedingt sein. Auch Entzündungen und Infektionen können als Ursache dazu führen. In einem Drittel der Fälle ist die auslösende Ursache nicht ersichtlich. Die Bemühungen der Orthopädie zielen dahin, möglichst früh, also vor dem eigentlichen Entstehen degenerativer Gelenkabnützungen, den natürlichen Krankheitsverlauf positiv zu beeinflussen. Mit gelenkerhaltenden operativen Massnahmen soll die Implantation eines künstlichen Hüftgelenks möglichst lange hinausgezögert werden. Denn das Einsetzen einer Gelenkprothese birgt das Risiko von Komplikationen (Prothesenlockerung, Infekt, Ausrenkung), die operative Folgeeingriffe (Prothesenwechsel, -ausbau) zur Folge haben können. Zudem beträgt das durchschnittliche Überleben eines künstlichen Hüftgelenks rund 15 Jahre. Aus diesem Grund darf die Indikation für das Einsetzen eines künstlichen Hüftgelenks nicht leichtfertig gestellt werden, insbesondere nicht bei Patienten unter 60 Jahren. Nicht selten sind junge, sportlich aktive Patienten unter 30 Jahren oder Berufstätige mit schwerer körperlicher Arbeit von diesen einschränkenden Leisten- und Hüftbeschwerden betroffen. In der Vergangenheit dürften derartige eschwerden gerade bei Sportlern über Jahre als Adduktorenzerrung behandelt worden sein. Wahrscheinlich beschleunigt die Kombination von nicht optimalen anatomischen Voraussetzungen am Hüftgelenk und die vermehrte körperliche Belastung durch Sport oder Beruf die krankhaften Veränderungen. Insbesondere bei jungen Patienten, bei denen knöcherne Reaktionen noch nicht erkennbar sind, erweist sich die Magnetresonanztomographie (MRI) bei der Diagnosestellung als sehr hilfreich (Abb. 3). 

Einrisse an der knorpligen Gelenklippe am Pfannenrand sowie Abnützungen des daran anschliessenden Gelenkknorpels können erkannt werden.

Gerade in Frühstadien ist die konservative Therapie bei jungen Patienten unrealistisch: die therapeutische Empfehlung umfasst das Vermeiden von schmerzauslösenden körperlichen Bewegungen, also den Verzicht auf (häufig ehrgeizig ausgeübte) sportliche Aktivitäten oder die Umschulung auf weniger belastende Berufe. Doch die meisten jungen Patienten wollen nicht auf geliebte körperliche Aktivitäten verzichten oder haben Mühe, sich beruflich neu zu orientieren. Sie möchten ihre körperlichen Beschwerden um jeden Preis los werden und nehmen eine Operation mit all ihren Risiken in Kauf.

Eine Arbeitsgruppe um Prof. Ganz, Chefarzt Orthopädie am Inselspital Bern, hat sich seit vielen Jahren dieses Themas angenommen und versucht, dieses Krankheitsbild durch operative Massnahmen positiv zu beeinflussen. Das Ziel einer gelenkerhaltenden operativen Massnahme (gerade in jugendlichem Alter) ist die Verbesserung der anatomischen Verhältnisse am Gelenk. So wird das Fortschreiten der bereits bestehenden degenerativen Veränderungen verhindert oder wenigstens derart verlangsamt, dass die Implantation eines künstlichen Hüftgelenkes möglichst lange hinausgezögert werden kann. An dieser Stelle muss aber betont werden, dass der degenerative Prozess nicht eigentlich rückgängig gemacht werden kann, sondern ein weiteres rasches Voranschreiten vermieden respektive idealerweise gestoppt werden soll.

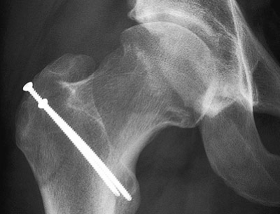
Von zentraler Bedeutung bei der Behandlung ist das Aufklärungsgespräch zwischen Arzt und Patient. Der Patient soll das anatomische Problem und die zu erwartenden natürlichen Folgen verstehen. Bei einem operativen Vorgehen ist es ausserordentlich wichtig, dass er eine realistische Vorstellung von dem zu erwartenden Operationsresultat hat. Insbesondere bei bereits fortgeschrittener Gelenkabnützung ist die Prognose ungewiss. Das operative gelenkerhaltende Vorgehen, welches wir in dieser Situation vorschlagen, ist die chirurgische Hüftgelenk(sub)luxation mit Entfernung der mechanisch störenden oder bereits zerstörten Gelenkanteile. Durch einen an der Hüftaussenseite angelegten Hautschnitt von etwa 25 cm Länge wird das Hüftgelenk eröffnet und der Hüftkopf so weit ausgerenkt, dass sämtliche betroffenen Gelenkstrukturen erkennbar und zugänglich sind. Dabei soll die umgebende Muskulatur geschont und die arterielle Durchblutung möglichst nicht beeinträchtigt werden. Zu stark überragende vordere Pfannenanteile werden mit dem Meissel abgetragen. Defekte Anteile an der Gelenklippe oder des angrenzenden Gelenkknorpels werden entfernt oder angenäht. Knochenauflagerungen am Übergang von Schenkelhals zu Hüftkopf werden stets entfernt, so dass dieser Übergang zusätzlich vertieft wird (Wiederherstellung einer genügenden Schenkelhalstaillierung). Bereits während der Operation lässt sich die verbesserte Beweglichkeit der Hüfte überprüfenn (Abb. 4). 

Die Operationsdauer beträgt im Durchschnitt zwei bis drei Stunden, und der Blutverlust ist gering. Nach der Operation ist eine Mobilisation an Gehstöcken mit einer Teilbelastung von etwa 15 kg während acht Wochen nötig, um eine optimale Wundheilung zu gewährleisten. Der Spitalaufenthalt beträgt zwischen fünf und sieben Tagen, die 100%ige Arbeitsunfähigkeit je nach Beruf zwischen dreiund vier Monaten.

Der Eingriff ist relativ komplikationsarm. In seltenen Fällen kann es zu einer Durchblutungsstörung des Hüftkopfes sowie zu einem Nicht-Anheilen der Knochenschuppe kommen, mit der die seitlichen Hüftmuskeln schonend weggeklappt werden und welche danach wieder an ihrer ursprünglichen Stelle mit Schrauben fixiert wird. Bis zur Beschwerdefreiheit kann es ein Jahr dauern. Bei einzelnen Patienten können geringe Restbeschwerden zurückbleiben. Zusammenfassend besteht beim Hüftimpingement ein Missverhältnis der Gelenkpartner im vorderen Gelenkabschnitt, wodurch verschiedene Strukturen irreparabel geschädigt werden und eine Früharthrose begünstigt wird. Durch einen operativen Rettungsversuch sollen die bestehenden Symptome behoben und vor allem ein weiteres Voranschreiten der Abnützungsprozesse vermieden werden. Inwieweit die Beschwerdefreiheit durch diese Operation auch längerfristig erreicht werden kann, wird sich erst in den nächsten 20 bis 30 Jahren weisen. Die regelmässige Nachkontrolle der bisher operierten Patienten ist deshalb von zentraler Bedeutung. Erst diese Langzeitverläufe werden zeigen, ob derartige operative Massnahmen ihren Stellenwert in der zukünftigen Orthopädie haben werden.

Letzte Aktualisierung: 28.05.2020