Zum Inhalt springen

Meniskusriss - Meniskus - Meniskusverletzung - Meniskusschaden - Arthroskopie - Knie

Meniskusriss - Meniskus - Meniskusverletzung - Meniskusschaden - Arthroskopie - Knie

Ein Meniskusriss am Knie durch eine Verletzung am Knie ist eine der häufigsten Knieverletzungen überhaupt: Es sind also nicht nur junge Sportler sondern auch ältere Patienten betroffen! Bei älteren Patienten kommt es oft aufgrund degenerativer Vorschädigungen zu einem Riss bei manchmal nur geringen Fehlbelastungen des Kniegelenkes. Ein Meniskusriss kann somit unter verschiedenen Bedingungen einreissen. Typischerweise ereignet sich dies beim Verdrehen des Kniegelenks bei sportlichen Aktivitäten jedoch auch unter Belastung, gelegentlich auch beim Aufstehen aus der Hocke: Man empfindet einen sofortigen scharf einschiessenden und stechenden Schmerz, der bisweilen mit einer mit Blockierung des Gelenks einhergeht. Auch begleitende Schwellungen des Kniegelenkes können auftreten. Verstärkt werden dann die Schmerzen typischerweise beim Treppensteigen und beim Hinuntergehen in die Kniebeugung. Auch Nachtschmerzen - meist im Innengelenk - treten auf.

Ein Meniskusriss kann aber auch langsam und schleichend entstehen, also ohne plötzliches Ereignis. Dies geschieht im Rahmen einer beginnenden Abnützung des Gelenkes bei älteren Patienten: Es kommt häufig zu eher diffusen Schmerzen, die aber in der Regel unter Belastung auftreten, doch auch hier können stechende Schmerzen ganz plötzlich auftreten und zur sogar zu einer Blockierung des Gelenkes führen. Bei der Erstuntersuchung muss beurteilt werden, ob es genügt, das Gelenk kurze Zeit zu entlasten und die Schmerzen mit einem Medikament zu bekämpfen, oder ob das schmerzhafte Knie weiter abgeklärt werden muss. Wenn sich der Verdacht auf einen Meniskusriss bei der aerztlichen Untersuchung bestätigt, wird in den allermeisten Fällen eine Kernspintomographie (MRT) durchgeführt. Danach muss meistens eine Knie Arthroskopie (Kniegelenksspiegelung) vorgenommen werden um den defekten Anteil des Meniskus zu entfernen:

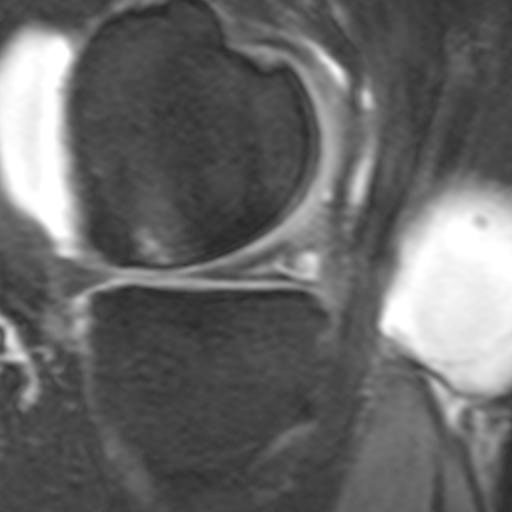
Typischer, grosser Meniskusriss im MRI (Magnetresonanztomographie)
Kniegelenksspiegelung (Kniearthroskopie)
Arthroskopie des Kniegelenkes
Typisches arthroskopisches Bild eines gerissenen Meniskus in der Kniearthroskopie

In der Regel wird die Arthroskopie des Kniegelenkes in Spinalanästhesie (Rückenmarks-Narkose) vorgenommen. Dies hat den Vorteil, dass der Eingriff am Monitor mitverfolgt werden kann und danach eine mehrstündige schmerzfreie Phase besteht. Auch kann man zusätzlich zur Spinalanästhesie ein Schlafmittel geben, wenn Sie nicht zusehen wollen oder gar eine Vollnarkose durchführen. Die Wahl der bestgeeigneten Narkoseart wird mit dem verantwortlichen Narkosearzt und dem Patienten im Vorgespräch festgeleget. Während der Kniearthroskopie werden über drei kleine Schnitte eine Arthroskop und mehrere Instrumente ins Kniegelenk eingeführt. So kann man den ganzen Gelenkinnenraum inspizieren:

zerrissene Anteil des Meniskus
Schemadarstellung einer Meniskusteilentfernung durch Arthroskopie

Der zerrissene Anteil des Meniskus wird mit einem Tasthaken untersucht, danach werden die geschädigten Meniskusanteile mit verschiedenen Instrumenten entfernt:

In vereinzelten Fällen, gerade bei noch sehr jungen Patienten wird der Meniskus sofern technisch durchführbar wieder angenäht; die Nachbehandlung ist in diesen Fällen jedoch wesentlich aufwändiger. Nach einer Arthroskopie des Kniegelenkes ist Schonung und Entlastung über einige Tage notwendig. Schmerzen und Schwellung nach dem Eingriff können je nach Situation noch über einige Wochen vorhanden sein, werden jedoch über Wochen verschwinden. Im Falle einer Meniskusnaht muss hingegen während rund vier bis sechs Wochen entlastet werden.

Letzte Aktualisierung: 28.05.2020